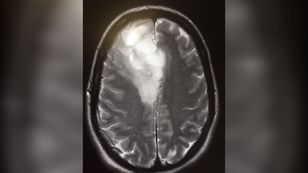
Wypadek samochodowy ujawnił poważną chorobę. Kobieta miała dużo szczęścia (WIDEO)
-
Statystyki użytkowników
-
Kto jest online? 0 użytkowników, 0 anonimowych, 472 gości (Zobacz pełną listę)
- Brak zarejestrowanych użytkowników online
-
Najnowsze
-
- 1 odpowiedź
- 271 wyświetleń
-
- 0 odpowiedzi
- 130 wyświetleń
-
- 0 odpowiedzi
- 297 wyświetleń
-
- 1 odpowiedź
- 238 wyświetleń
-
- 1 odpowiedź
- 904 wyświetleń
-
-
Najpopularniejsze
-
- 84,629 odpowiedzi
- 1,719,643 wyświetleń
-
- 72,280 odpowiedzi
- 1,387,644 wyświetleń
-
- 69,864 odpowiedzi
- 1,746,734 wyświetleń
-
- 68,207 odpowiedzi
- 1,320,550 wyświetleń
-
- 62,643 odpowiedzi
- 1,497,939 wyświetleń
-
-
Najczęściej czytane
-
- 69,864 odpowiedzi
- 1,746,734 wyświetleń
-
- 84,629 odpowiedzi
- 1,719,643 wyświetleń
-
- 9,077 odpowiedzi
- 1,679,486 wyświetleń
-
- 62,643 odpowiedzi
- 1,497,939 wyświetleń
-
- 72,280 odpowiedzi
- 1,387,644 wyświetleń
-
Rekomendowane odpowiedzi
Jeśli chcesz dodać odpowiedź, zaloguj się lub zarejestruj nowe konto
Jedynie zarejestrowani użytkownicy mogą komentować zawartość tej strony.
Zarejestruj nowe konto
Załóż nowe konto. To bardzo proste!
Zarejestruj sięZaloguj się
Posiadasz już konto? Zaloguj się poniżej.
Zaloguj się