Skocz do zawartości
Forum

Blancia123

Użytkownik
  • Postów

    3
  • Dołączył

  • Ostatnia wizyta

Treść opublikowana przez Blancia123

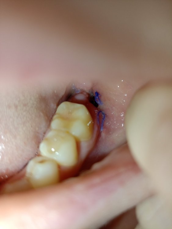
  1. 28.03 usunęłam chirurgicznie zatrzymaną dolną 8. Wcześniej nie zaglądałam jak to wygląda bo miałam opuchliznę. Dziś zajrzałam (31.03) i od strony policzka widzę jakąś dziurę. Nie wiem czy ona tak była czy szew puścił ? Udać się do chirurga czy niepotrzebnie panikuje? Boleć nie boli tylko delikatnie swędzi i piecze
  2. Widzę że post dodany prawie już 5 lat temu. Chciałabym się dowiedzieć dziewczyny jak sytuacja u was z blizną? Nadal jest widoczna?
×
×
  • Dodaj nową pozycję...